“We tried everything”: Team of Toronto surgeons doesn’t give up on young girl with persistent seizures
Summary:
Neurosurgeons from SickKids and Toronto Western Hospital (TWH) have performed the first deep brain stimulation (DBS) to treat drug-resistant paediatric epilepsy in Canada. With only 40 published cases of the procedure being performed in children for this condition, Andi Dreher, 9, is among the first in the world to undergo this treatment.
In the first use of deep brain stimulation to treat paediatric epilepsy in Canada, SickKids and UHN doctors try to reduce Andi Dreher’s 150 daily seizures.
TORONTO – Neurosurgeons from The Hospital for Sick Children (SickKids) and Toronto Western Hospital (TWH) have performed the first deep brain stimulation (DBS) to treat drug-resistant paediatric epilepsy in Canada. With only 40 published cases of the procedure being performed in children for this condition, Andi Dreher, 9, is among the first in the world to undergo this treatment.
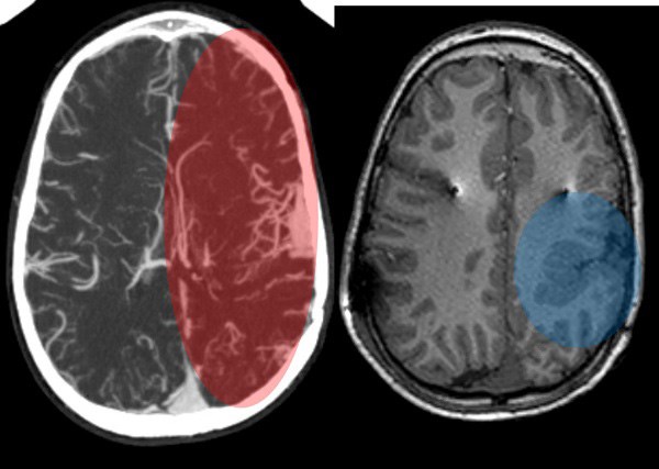
When Lori Dreher was pregnant with Andi, doctors told her that Andi had developed a mass in her brain. While the mass went away during the course of Lori’s pregnancy, Andi was left with complex venous anomaly in the left cerebral hemisphere, which is an unusual or irregular arrangement of veins in the brain. This unique pattern of blood vessels makes attempts at any surgical treatment very high-risk and potentially dangerous. Next to the venous anomaly was also an extensive brain region that spontaneously generated seizures.

Andi had her first seizure when she was three years old and began having a couple seizures per year. Over the next few years, the frequency of her seizures increased significantly despite trying many proven treatments, including an unsuccessful attempt at a brain surgery at another institution. When Andi first came to SickKids in December of 2016, she was seven years old and experiencing many seizures per day. This fall, she was having 100 to 150 small seizures per day.
“We tried everything. Andi has been on multiple medications, tried two different surgical procedures and the ketogenic diet,” says Lori, Andi’s mother. “She always seems to respond well at first but nothing sticks. At this point, she’s lost the ability to walk on her own and rarely speaks. We needed to get her seizures under control.”
Dr. George Ibrahim, Staff Surgeon in the Department of Neurosurgery and Associate Scientist in the Neuroscience and Mental Health Program at SickKids, worked with Andi and her family to continue pursuing treatment options. Multiple specialists in the comprehensive epilepsy program at SickKids collaborated in her care, including Dr. Cristina Go, Neurologist, and Ivanna Yau, Nurse Practitioner.
It became clear that Andi’s best chance would be DBS and so Ibrahim recruited his colleague, Dr. Suneil Kalia, Neurosurgeon at TWH to assist with the surgery. A global leader in the field, TWH currently performs the most DBS cases in Canada to treat movement disorders including Parkinson's, as well as epilepsy and chronic pain in adults. However, DBS is relatively uncharted territory for children.

DBS works by sending electrical impulses to targeted areas deep in the brain to relieve symptoms without harming the surrounding tissue. Electrodes are placed within the brain at a pre-determined target. These electrodes are then connected to a battery-operated device implanted in the chest. The device creates the electrical impulses that are sent to the electrodes.
“With DBS, we’re able to plan with submillimetre accuracy where we’ll place the electrodes prior to surgery. This was crucial for Andi in particular because of her unique brain structure and vascular anatomy,” says Ibrahim, who is also an Assistant Professor in the Department of Surgery at the University of Toronto. “It gives us an unprecedented level of precision to surgically treat paediatric epilepsy. We can actually turn neural circuits on or off to achieve specific outcomes, while minimizing side effects.”
"Accurate and safe placement of DBS electrodes requires careful planning and a team-based approach is critical for success,” says Kalia. “This is not only for the operation itself but for careful selection of appropriate patients as well as the complicated programming of the device by the neurology team after the surgery.”
Before the surgery, the surgical team took several images of Andi’s brain to create a visualization of the target they needed to reach with the electrodes. The surgery took place on October 1, 2018. Despite being at a high risk for hemorrhage because of her venous anomaly, Andi’s surgery went smoothly and she returned home after a couple days recovery in hospital.
“The true effects of the DBS can only be known once the device has been turned on for several months,” says Ibrahim. “However, when we turned it on as a test during surgery, it completely silenced the electrical activity that’s causing Andi’s seizures, which is what we were hoping to target.”
Ibrahim and Kalia turned on the device at SickKids on November 15, 2018 with assistance from Dr. Alfonso Fasano, Neurologist at TWH, who programmed the device’s electrical pulses. Although the full impact of DBS on Andi’s seizures will remain to be seen, her family has seen changes in her seizure frequency. Andi’s doctors will continue to monitor her progress and hope to see a significant reduction in her seizures.

“Dr. Ibrahim didn’t give up on Andi and we’re incredibly grateful for that,” says Lori. “I would love just to see her talking and walking on her own again. We’re hoping DBS can give Andi somewhat of a normal life.”