Choosing Wisely at SickKids means holding off on X-raying infant bronchiolitis cases coming to the ED
Summary:
Instead of offering peace of mind, confirmatory X-rays in infant bronchiolitis cases can result in incorrect diagnosis of bacterial pneumonia, according to an article by Dr. Jeremy Friedman, Associate Paediatrician-In-Chief, in The BMJ.
While we can’t control the number of bronchiolitis cases coming to the Emergency Department, as health-care providers we can control the accompanying – and often unnecessary – patient X-rays.
That’s the conclusion of an article recently published in The BMJ, authored by Dr. Jeremy Friedman, Associate Paediatrician-In-Chief at The Hospital for Sick Children (SickKids), which says the diagnosis of typical bronchiolitis in infants should rely on the history and physical examination rather than on confirmatory testing. This winter may be a busy one for bronchiolitis based on the experience in other parts of the world, so these findings will be of particular importance for many health-care providers as they encounter more cases.
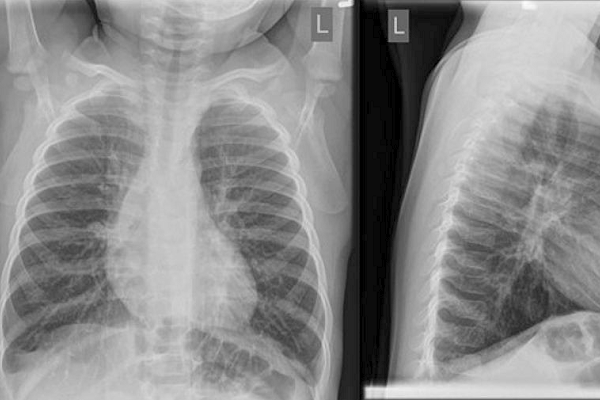
“Ordering a chest X-ray is often meant to give peace of mind for families and care providers, but the reality is that in typical cases this extra measure could actually do more harm than good,” says Dr. Friedman. “It’s not just exposure to unnecessary radiation, but also the increased likelihood of mistaking the typical X-ray changes seen in bronchiolitis, and making an incorrect diagnosis of bacterial pneumonia with the unnecessary use of antibiotics that can follow.”
Unnecessary is the operative word as it relates directly to Choosing Wisely Canada, a campaign SickKids joined in 2016, to reduce tests and treatments that patients can do without. It has been estimated that in health care as many as 30 per cent of all tests and treatments may be unnecessary, add no value and in some cases can actually lead to harm.
Bronchiolitis is a viral lower respiratory tract infection occurring mainly in the winter months, most commonly caused by respiratory syncytial virus (RSV). It is seen primarily in infancy but occurs up to two years of age, and is the most common indication for hospitalization in this age group.
According to the article, guidance to avoid imaging is originally based on studies showing that likely <1 per cent of X-rays will result in a new diagnosis. Despite this, a recent study of children seen in 38 paediatric emergency departments across eight countries in North America, Europe, and Australasia by Dr. Amy Zipursky from the SickKids Emergency Department, found that chest X-rays had been performed in 23 per cent of previously healthy infants aged 2-12 months with bronchiolitis not requiring intensive care, and that this was associated with antibiotic use irrespective of disease severity.
This number is likely doubled in bronchiolitis patients being seen in non-paediatric EDs by adult providers and reinforces that adult medicine practices don’t always translate to paediatric patients.
Not proceeding with an X-ray may be psychologically difficult for health-care providers (and caregivers alike), who feel like they want to be able to do ‘more’ to help these infants. All the more reason for physicians and nurses, in the spirit of Choosing Wisely, to consider this evidence of overuse to create a new best practice and standard messaging to families, which is outlined in the BMJ article.
Read the full article on The BMJ website.
What caregivers need to know about bronchiolitis:
- Bronchiolitis is a common infection of the lungs in young infants, caused by a virus
- Most cases of bronchiolitis settle without the need for tests or medications
- A chest X-ray is unlikely to lead to a new diagnosis, and may lead to unnecessary use of antibiotics and radiation exposure
- Most cases can be managed at home by letting your baby have plenty of rest and continuing to feed as usual
- If your baby’s nose is congested then saline drops or spray may help, as may use of a device to suction the mucous from the nostrils
- Keep away from cigarette smoke or other irritants and do not use cough or cold medicines
- Children who have trouble breathing need to be assessed by a health-care professional

