Discovery of unique brain tumour subtypes offers hope for targeted glioma therapies
Summary:
SickKids researchers identify three subtypes of high-grade gliomas with distinct treatment responses to provide precision care for patients.
Key study findings:
- Identified three distinct subtypes of primary mismatch-repair-deficient high-grade gliomas
- Each subtype has its own genetic changes that drive tumour growth
Findings suggest precision treatments tailored to each tumour type may improve patient outcomes.
Researchers have uncovered the mechanisms behind three unique subtypes of mismatch repair deficient high-grade gliomas. The findings provide a clearer understanding of how these tumours develop, explain why patients respond differently to immunotherapy, and are already helping guide more precise therapies.
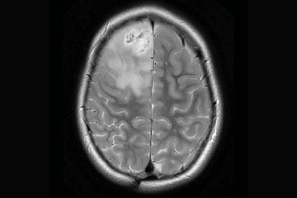
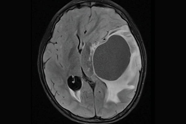
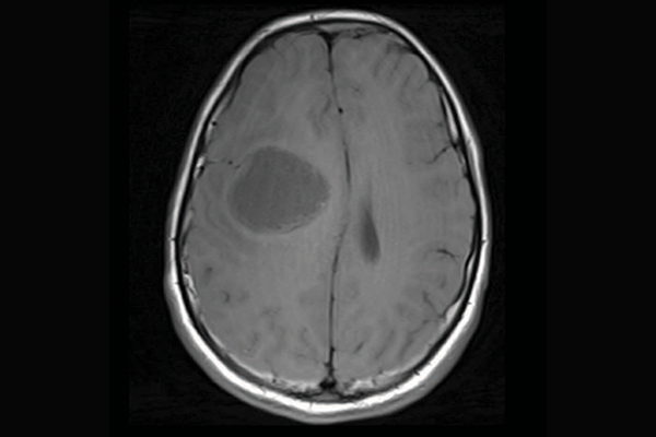
High-grade gliomas are a group of aggressive brain tumours and one of the deadliest tumours in children and young adults. In some children, the tumours are driven by mismatch repair deficiency (MMRD), which is characterized by hypermutation (a large and quickly accumulating number of mutations in tumour cells) and resistance to standard treatments such as chemotherapy and radiation.
Tumours driven by mismatch repair deficiency are known as primary mismatch repair deficient high‑grade gliomas (priMMRD‑HGG). Because priMMRD-HGG have high numbers of mutations, treatment has shifted to immunotherapy, which uses the body’s own immune system to fight cancer by targeting cancer cells.
While immunotherapy has improved survival rates, clinicians observed three types of responses to treatment among patients, as well as differences in imaging and age of onset.
Published in Nature Genetics, the study was led by Dr. Uri Tabori and a team of researchers including Drs. Anirban Das and Cynthia Hawkins at The Hospital for Sick Children (SickKids), working with clinicians and scientists to analyze genomic and clinical data from priMMRD-HGG to better understand these differences.
The findings reveal three distinct molecular pathways that aligned with clinical observations and provide the basis for more targeted therapies, as well as hope for a potential target for future vaccine development.
“This rare population of mismatch repair deficient gliomas offers unique insight into how genome instability drives all gliomas, and is already leading to new treatment strategies and clinical trials for patients,” explains Nicholas Fernandez, first author and Research Fellow in the Tabori Lab.
Subgroups of pri-MMRD tumours
Using a unique global cohort of patients from the International Replication Repair Deficiency Consortium, led out of SickKids, the team classified 162 priMMRD-HGG from 152 patients into three subgroups:
priMMRD-1: The ultra hypermutant
These tumours are the most common, with 62 per cent of tumours having both MMRD mutations and polymerase proofreading deficiency (PPD), making them extremely sensitive to immunotherapy. A first-in-kind clinical trial called U-R-Immune Glioma, led by Drs. Eric Bouffet and Das at SickKids, is already pursuing an immunotherapy-first approach for these patients, sparing initial radiation therapy.
priMMRD-2: The double agent
These tumours account for 19 per cent of the gliomas studied and have MMRD mutations without PPD or IDH1 gene alterations. For these patients, a single-agent immunotherapy is less effective, but adding a second agent may improve outcomes. The OPTIMISE trial, led by Dr. Daniel Morgenstern at SickKids, is using an adaptive trial design to target these specific genetic variations.
priMMRD-3: The immune-cold
Accounting for the remaining 19 per cent of gliomas studied, these tumours have MMRD mutations and a variation in the IDH1 gene. While they often have poor responses to immunotherapy alone, SickKids clinicians and scientists are working toward a clinical trial to pair targeted immunotherapies with a IDH1 inhibitor to provide more tailored care for this subgroup of patients.
From precision therapy to targeted prevention
Beyond advancing patient care, the findings have prompted the research team to suggest the World Health Organization (WHO) reclassify priMMRD-3 as a subtype of astrocytoma, and priMMRD-1 and priMMRD-2 as specific subtypes of paediatric high-grade glioma. This reclassification would better reflect their molecular and clinical behaviour, which the research team says will help to propel future research efforts and collaborations with scientists around the world for these ultra-rare and distinct tumour subtypes.
One effort already underway is an investigation into a possible vaccine to target cancer cells earlier using a strategy called immune interception.
“These tumours have some of the highest mutations in humans, but this study revealed that these mutations are not random. This means the tumours share mutations that can be intercepted earlier to prevent their progression with approaches such as vaccines,” says Tabori, Section Head of Neuro-Oncology, Senior Scientist in the Genetics & Genome Biology program and Garron Family Cancer Centre Chair. “In the lab, we’re already looking for ways to target and destroy cancer cells before they spread and become deadly.”
While still is in its early phases, the research team is hopeful that with more precise knowledge about these tumour subtypes, treatment can become increasingly proactive and tailored to each child’s unique tumour, forming the basis of the new immune cancer interception program led by Drs. Peter Dirks, James Rutka, Hawkins and Tabori in the Brain Tumour Research Centre at SickKids.
This study was funded by the Canadian Institutes of Health Research (CIHR), Terry Fox Research Institute, and Stand Up to Cancer.

